Menu
ダイレクトボンディングとは
-

-
ダイレクトボンディングとは多種類のコンポジットレジン(ハイブリットレジン)を口腔内で盛ったりすることで、歯の欠損した部分や形態を再現する方法です。保険適応のコンポジットレジンに加えて審美性を出すことのできる専用のレジンを使用することで天然歯の様な自然な色や形態を再現できます(自由診療)。
適応症例
- 歯を大きく削らないで美しく治したい
- 前歯の隙間を治したい
- 前歯の形を治したい
- 前歯が大きく欠けてしまったのを治したい
- 銀歯を白く治したい
ダイレクトボンディングのメリット・デメリット
メリット
- 歯を削る量が少なくて済む
- 天然歯に近い形態・色調を再現できる
- 治療回数が少ない(1日で治療が終了)
- セラミック修復より低価格で治療が可能
- 欠けた場合部分的な修復が可能
デメリット
- 金属やセラミックと比較すると強度が劣る
- 長年使用していると変色する場合がある
- 1回あたりの治療時間が長くなる

Case
症例
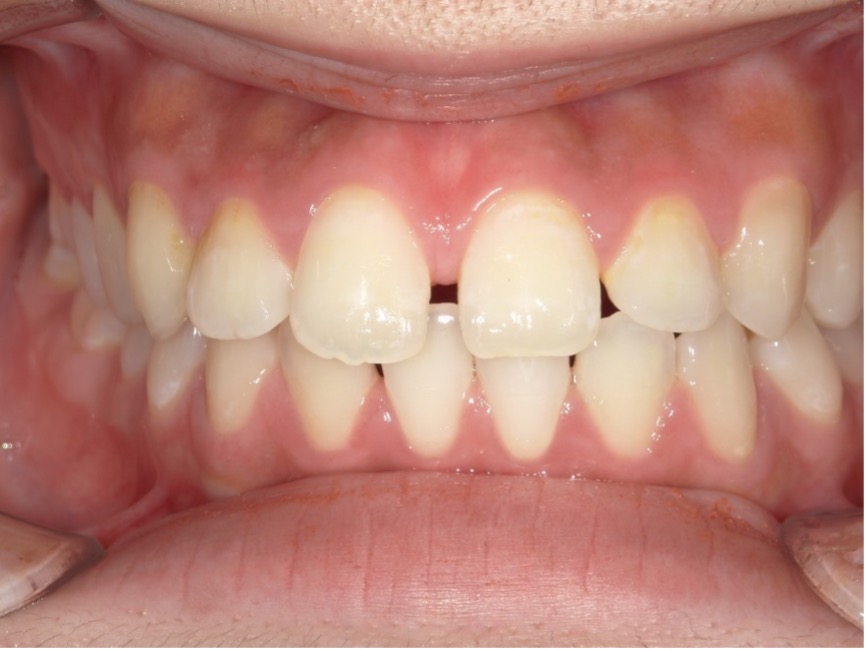
【症例-1】前歯の隙間を修復
前歯の隙間(いわゆるすきっ歯)を気にされる方が多いですが、ダイレクトボンディングで治すことができます。
上顎中切歯症例

Before

After
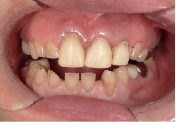
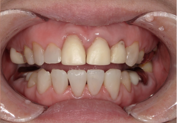
【症例-2】前歯の形を修正
前歯の形態が不揃いな場合もダイレクトボンディングで治すことができます。
下顎前歯(5歯)症例

Before

After
【症例-3】銀歯を白い歯に
銀歯が気になる方は、ダイレクトボンディングで修復することができます。
※歯の大部分が銀歯の場合は強度的に十分でないため適応外となります。
上顎第一・第二小臼歯症例

Before

After
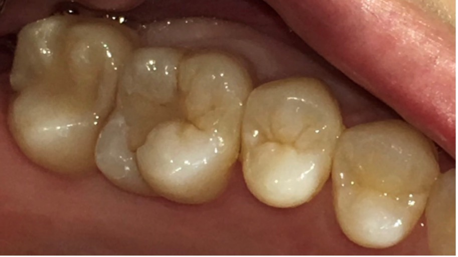
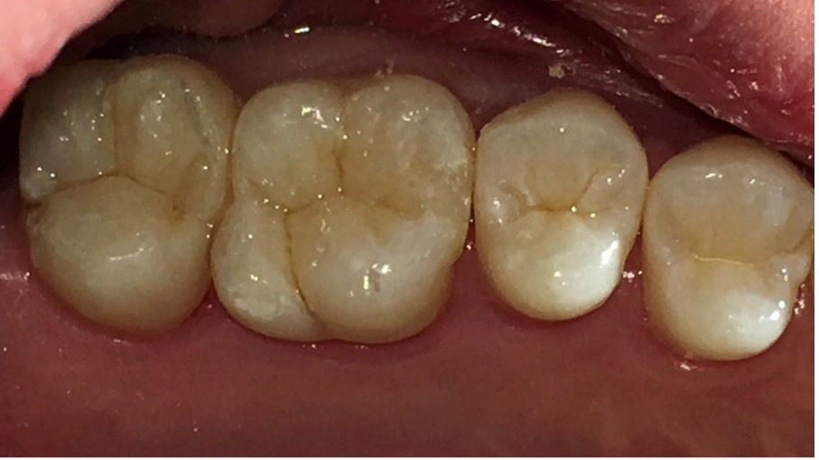
【症例-4】古い着色した詰め物を再修復
保険適応のコンポジットレジン修復に着色が生じてしまったり、二次的な虫歯が生じてしまった場合もダイレクトボンディングが適応となります。
上顎第一・第二大臼歯症例

Before

After
