当院は「MI歯科」という名前でレジン治療を中心に行っておりますが、
精密根管治療や外科治療も行っております。
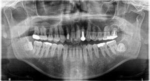
患者さんは50代男性。左上前歯の歯茎から膿が出るのを主訴に来院されました。
パノラマ撮影を行うと…
3つの大きな嚢胞が映ってきました(;゚Д゚)


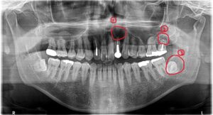
①上顎左側側切歯根尖部に100円玉ぐらいの歯根嚢胞を認めます。
②上顎左側第二大臼歯根尖部に1円玉ぐらいの歯根嚢胞を認めます。
③下顎左側智歯周囲に500円玉くらいの含歯嚢胞を認めます。
※後日病理組織診断を行っております。

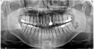
③左下嚢胞摘出後パノラマ。
①は根管治療のみでは治癒しなかったため歯根端切除術を約3か月前に行い歯冠補綴まで行っております。
②も同じくらいに根管治療(MTA根充)を行い歯冠補綴まで行っております。

③含歯性嚢胞摘出約6か月後
①の病変は口蓋側まで及んでいたため一部が瘢痕治癒していると考えられますが、
特に問題なく経過しております。
②、③は治癒しております。
埋まっている親知らずを抜きたい方、抜歯宣告されたけど何とか残したい方は当院にご相談ください。
群馬県前橋市の歯科医院 まえばしMI歯科
院長 高橋陽介

