皆さんこんにちは(^▽^)
新年を迎えあっという間に1月も終わりを迎えようとしています😲
本日は当院のホワイトニングについてのご紹介です。
当院取り扱いのホワイトニング薬剤は
*虫歯、歯周病予防効果あり
*歯がツルツルになる
*自然な透明感になる
などメリットがたくさんあります!!
多くの歯科医院で使われているホワイトニング剤と違い、
施術後に歯がしみにくい、施術後の食事制限がないのも特徴です。
《料金》
¥20,000+税
2回目以降は半年以内であれば何度でも¥10,000+税でホワイトニングできます( *´艸`)
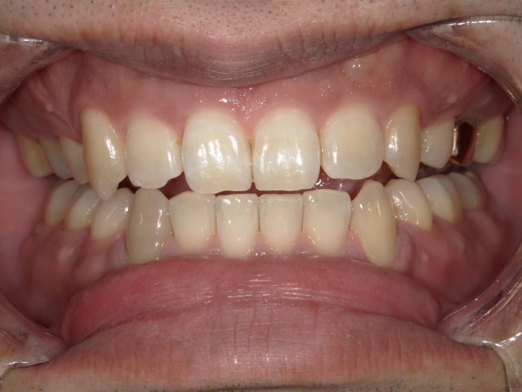
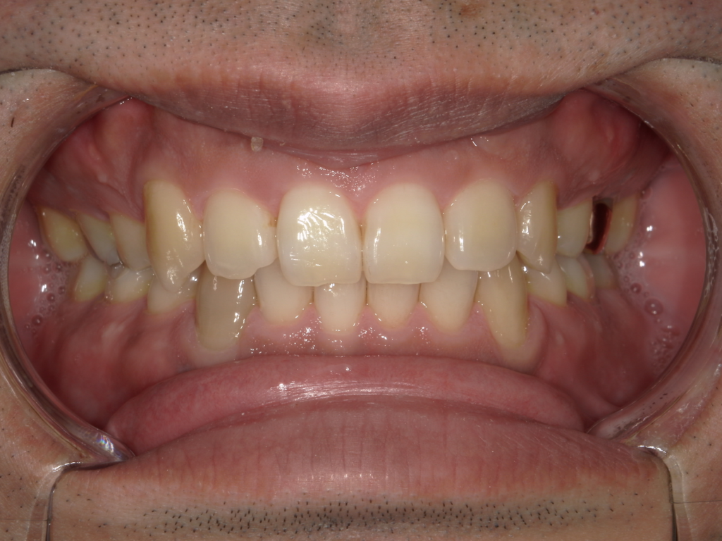
↓院長もホワイトニングしました♪
歯が白くなるだけで清潔感が出て明るく若々しい印象になるのでおススメです☆
ご興味のある方はぜひお問い合わせください^^
