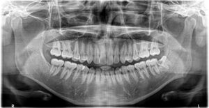
親知らずが斜めに生えていたり真横に生えていたりすると、その影響で手前の第二大臼歯が虫歯になってしまうことがよくあります。
当院では難しい親知らずの抜歯をよく行っているため、しばしばそのような症例を見かけます。

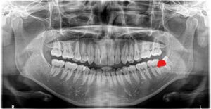
上のX線の患者さんは写真の左下の親知らず(正面から見て右下)が大きな虫歯になっており、手前の第二大臼歯もその影響で虫歯になっていました

赤い部分が虫歯です
親知らずを抜いた後に小さいX線写真を撮ると第二大臼歯遠心に大きな虫歯がはっきりと写ってきました(下の赤い部分が虫歯です)


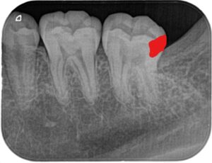
一般的には第二大臼歯の咬合面から大きく削り、インレーと呼ばれる詰め物を作ると思います。下の写真のオレンジ色の部分を削るため、虫歯の部分1に対して健康な部分を2~3ぐらい削ります。

当院では、顕微鏡や拡大鏡下で、エアスケーラーという器具にEENOボールというチップを付けて虫歯の部分だけを狙い、健康な歯をできる限り削らない治療法も行っております。
このチップは私の治療をしていただいた愛知県豊橋市のEEデンタルの井野泰伸先生が開発された器具で、非常に愛用しております。
治療の段階としては、
①親知らずをまずは抜歯します。※抜歯と同日に希望される方がいますが、出血が多くレジンが充填できないため絶対にできません。
②抜歯後2~3週間して歯肉が少し落ち着いたら虫歯除去およびコンポジットレジンによる修復を同日に行います(所要時間は40~50分です)

術後レントゲン撮影。虫歯をとったところのみをコンポジットレジンで詰めました(上の写真で白く写っている場所です)
このような治療法を希望される方は当院スタッフまでお伝えください。
群馬県前橋市の歯科医院 精密虫歯治療 レジン治療 ダイレクトボンディング
まえばしMI歯科 院長:高橋陽介
