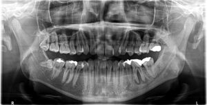
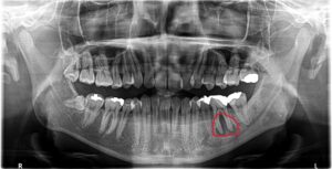
20代男性。検診希望で来院され、全体が映るレントゲンを撮影したところ左側下顎第一大臼歯(正面から見て右下奥から2番目の歯)に大きな根尖病変が見つかりました。
根尖病変とは神経をとった歯や神経が痛んでしまった歯が細菌感染し、根の先に膿の袋を作ってしまった状態で(簡単に言うと、顎の骨の中に膿が溜まっている)、治療が必要となります。

初診時レントゲン

下顎左側第一大臼歯(赤丸)に親指の頭ぐらいの大きさの根尖病変が認められます。
口腔内には舌側に瘻孔(膿の出口)が認められます。
病変は大きいですが、患者さんはまだ20代であり、何とか抜歯は避けたいため根管治療を行い治すことにしました。根管治療で治癒しない場合は外科的歯内療法を行うことを説明。
※ここで重要なのは、歯科医院によって治療方針は大きく異なるというところです。
抜歯してインプラントを勧める医院もあると思いますが、当院では残せる見込みのある歯に対しては根管治療を行います。
根管治療3回目で瘻孔が消失したため根管充填を行い、約半年間仮歯で経過観察。

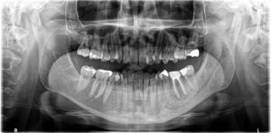
術後約6か月:だいぶ黒い影が小さくなり、骨ができてきました。
根尖病変は治癒傾向にあるため、セラミッククラウンを入れて治療終了となりました。
他の歯科医院で抜歯と言われた歯でも、当院では治る可能性がある場合は根管治療を行います。
歯がグラグラに揺れていたり、歯根破折しているなど、明らかに抜歯となる理由がない場合は残せることも多々あります。
群馬県前橋市の歯科医院 まえばしMI歯科
院長 高橋陽介
