前歯のすきっぱの治療
正中離開(いわゆるすきっぱ)を気にされている方へぜひ知っていただきたいのですが、
前歯のすきっぱを治すには以下のような方法があります☟
①セラミッククラウン
②ラミネートべニア
③矯正治療
④ダイレクトボンディング
①・②は歯を削り、型どりをするため治療回数が2回以上かかります。
③は歯を削りませんが治療期間が数カ月~数年かかります。
しかし、④ダイレクトボンディングだと歯を大きく削ることなく1回で綺麗に治ります✨
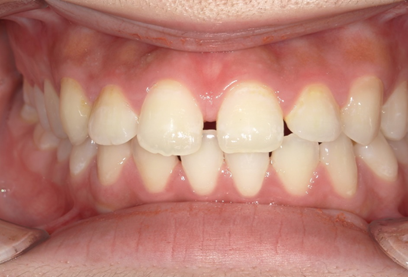
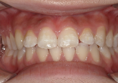
当院の患者様の症例です。
before

after

綺麗に治り、満足して帰っていただけました!
治療回数:1回
料金:¥33,000(税込)×2
成人式や結婚式など大切なイベントを控えていて、「すぐに歯をきれいにしたい」といった方にもおすすめです。
群馬県前橋市の歯科医院 まえばしMI歯科

