歯科治療ですが、
「歯医者は通わないといけないので大変」
と思っている方多いと思います。
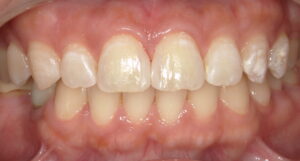
しかし、ダイレクトボンディングを行えば通常1回で治療は終了します(^^)/
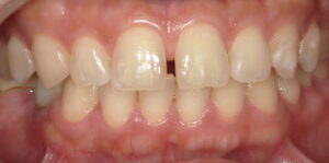
患者さんは30代女性。前歯のすっきっ歯を治したいとのことで遠方から来院されました。

術前:上顎前歯部に正中離開が認められます。

術後:きれいに治り、喜んでいただけました(*^-^*)
治療回数:1回(約1時間)
費用:¥66,000(税込)
当院では遠方から来院される方の治療にも対応しております。
※当日に治療をご希望される方は必ずお電話にてお問合せ下さい。ネット予約では相談のみとなりますので予めご了承下さい。
群馬県前橋市の歯科医院 まえばしMI歯科
院長 高橋陽介

