先天性欠損といって歯の本数が生まれつき少ない人がいます。
小臼歯(前から4,5番目の歯)、側切歯(前から2番目の歯)に多く認められます。
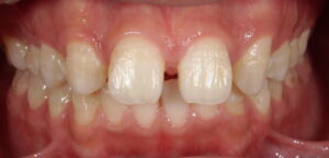
今回の患者さんは10代男性。上顎両側の側切歯が先天性欠損しており、審美的な治療を希望して来院されました。
矯正治療は今現在希望されないとのこと。
ダイレクトボンディングで治すことにしました。

術前:側切歯がないため正中離開が大きく認められます。

術後:正中離開は無くなりました。
3番近心に少し空隙が認められるため、気になったらここもやりましょうと患者さんにはお伝えしました。
重度の歯周病に罹患していたり、隣の歯が人工物で被せてある場合を除いて、だいたいの隙間はこの方法で治すことができます(^○^)
興味のある人は当院までご連絡ください。
まえばしMI歯科
院長 高橋陽介

