すきっぱの治療法をよく相談受けますが、治療法としては以前書いた下のブログに記載してますので参考にしてください。
ちなみに、当院ではダイレクトボンディングによる治療が圧倒的に多いです。
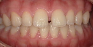
患者さんは10代女性。前歯のすきっぱが気になるとのこと。治療期間を短く治したいと希望。ダイレクトボンディングを選択しました。

術前:上顎中切歯間にすきっぱが見られます。

術後:すきっ歯はきれいに治りました。
もう少しでマスク生活も終わろうとしています。
鏡を見て、やっぱり気になるという方は早めにご相談下さい(*^-^*)
群馬県前橋市の歯科医院 まえばしMI歯科
院長 高橋陽介

