「金歯って昔のお金持ちの人がかっこつけるために入れるものだよね?」
というように思われている方多いと思います。
確かに、昔はわざと目立たせる目的で金歯を入れている人が多かったと思います。
しかし、現在でも金を用いた虫歯の治療は行われています。
実は金(歯科治療で主に用いられるのは18K)には展性及び延性と呼ばれる性質があります。
簡単に言うと、金は金属の中では柔らかく伸びる性質があります。
一般的に詰め物は接着剤で歯と接着させますが、長年使用していると劣化してきます。
特に保険適応の銀歯は何年かすると歯との接着がほとんどなくなっていることが多いです(使用する接着剤の種類や患者さんの口腔内環境に左右される部分も大きいので一概に数年でダメになるとは言えませんが…)
しかし、金の場合は接着剤が劣化してもその隙間が延びることにより埋まります。そのため、二次的な虫歯が発生しずらく、歯の寿命を考えると非常に理にかなった治療法と言えます。
年配の患者さんでゴールドを複数入れている方が時々いらっしゃいますが、いつ入れたか来てみるとほとんどの方がだいぶ前に入れたのでよく覚えていないとおっしゃいます。つまり、ゴールドは長く持つ確率が高いということです。(ちなみに保険適応の銀歯は約5年です)
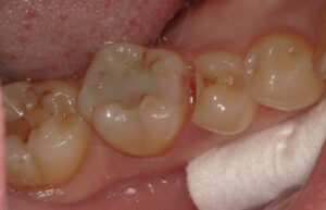
今回の患者さんは歯ぎしりの自覚があり、虫歯のなりにくさや詰め物の強度を考えてゴールドを選択されました。

装着前

装着後

レントゲンを確認で撮りました。段差はなく、非常に適合良いです。
自分の歯を長く持たせたいおよび詰め物も長く持たせたいという方には良い選択肢だと思います。
ちなみに私も自分の口腔内にゴールド入れていますので自信もってお勧めできます。(^^)/
群馬県前橋市の歯科医院 まえばしMI歯科
院長 高橋陽介

