親知らずが横向きに生えていると手前の歯が虫歯になってしまうことがよくあります(;゚Д゚)
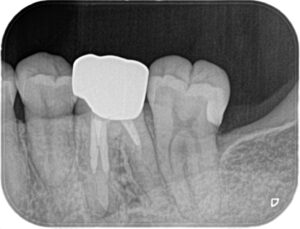
患者さんは40代女性。定期健診時に左側下顎第二大臼歯遠心に虫歯が見つかりました。
以前横向きに生えていた親知らずを抜歯しており、
おそらくその時からC1くらいのカリエスがあったと考えられますが最近になって進行してきたようです。

X線撮影を行いました。

あまりはっきりと映らなかったため、赤丸で囲んでみました。
神経付近まで虫歯は進行しています。

虫歯の部分のみ除去し、コンポジットレジンで充填しました。
当院ではできる限り大きく削らない治療を心がけています(^^)/
また、一般的な歯科医院ではあまり行わない難易度の高い親知らずの抜歯もおこなっております。
「総合病院じゃないと抜けないと言われたけどなかなか行けない…」という方はお気軽にお問合せ下さい。
群馬県前橋市の歯科医院 まえばしMI歯科
院長 高橋陽介

