今月は前歯のダイレクトボンディングの症例が多いですが、
月により奥歯の症例が多かったり、
セラミックが多かったりとだいぶバラつきがあります。
前歯の審美治療で一番回数がかからないのはどれ?
とよく聞かれますが、
即答でダイレクトボンディングとお答えします!
基本的には一回で治療が終わります。
また、気になる歯をある程度まとめて治療したりすることもできます。
※症例により対応できない場合もあります。
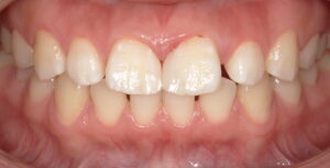
今回の患者さんは10代女性。
前歯の隙間を治したいとの希望でダイレクトボンディングを行いました。

初診時写真。
前歯のすきっぱが気になることを主訴に来院されました。
正中離開が認められ、ここをダイレクトボンディングで治しました。

術後写真。正中離開を治しましたが、
左右の側切歯の近心の空隙も気になるとのことで
ここもダイレクトボンディングで治すことにしました。

側切歯治療後。上顎前歯の空隙がすべてきれいに治りました(^_-)-☆
白濁した部分の色合わせが難しかったのですが、だいぶ色が合ってくれました。
治療は2回に分けて行いましたが、
最初から全部治したい方は長めにお時間いただければ1回で行うこともできます。
料金:¥33,000×4(税込み)
興味のある方は当院までお問合せ下さい。
群馬県前橋市の歯科医院 まえばしMI歯科
院長 高橋陽介

