ダイレクトボンディングの料金について
のお問合せが時々ありますが
現時点(R4年10月)の料金は1歯¥33,000~66,000となっております。


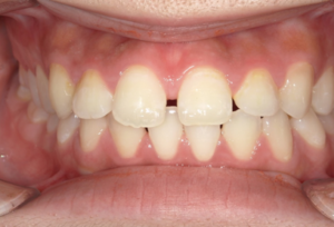
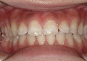
一番問い合わせの多いのが上の写真の正中離開(まえばのすきっぱ)ですが、基本的には¥33,000×2=¥66,000(税込み)となります。

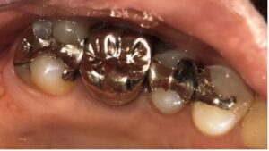
奥歯の症例ですが、このぐらいの大きさの銀歯の場合は¥33,000(税込み)となります。


隣接面を含む銀歯の場合は大きさにもよりますが、¥33,000~44,000(税込み)となります。


この大きさになると¥66,000(税込み)となります。
※通常この大きさになると、セラミックアンレーもしくはクラウンで治療します。ご希望ある場合は充填することも一応可能です。
代表的な症例とその値段を書きましたが、審査・診断してから正式には決めます。銀歯を全て白くしたい方などはお見積り差し上げますので当院までいらしてください。
群馬県前橋市の歯科医院
まえばしMI歯科 院長:高橋陽介

