症例の数は月によって異なります。
ダイレクトボンディングが多い月もあればセラミック修復が多い月もあります。
今月はセラミックが多かったのですが、ダイレクトボンディングを久しぶりに行いました。
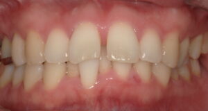
患者さんは30代女性。前歯のすきっ歯が気になるとのことで来院されました。

術前

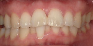
術後
上顎中切歯近心を充填し、右側切縁の遠心よりの尖っている部分をやや丸め、左右のバランスをとりました。
大きく削ることはしませんが、患者さんに同意を得て多少丸めることはあります。
*自由診療となります。
料金:¥33,000×2本(税込み)
治療回数:1回
気になる方は当院までご連絡下さい(^^♪
群馬県前橋市の歯科医院 まえばしMI歯科
院長 高橋陽介

