歯肉の退縮などが原因で、歯と歯の間に黒い三角形の隙間が生じる場合があります。
これをブラックトライアングルと言います。
そのままか(^^ゞ
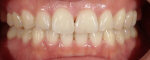
患者さんは30代女性。上の前歯の間の隙間が気になるとのこと。

上顎左右中切歯間にブラックトライアングルが認められます。
治療方法としてはセラミックもしくはダイレクトボンディングでしょう。
セラミックだと歯を必要以上に大きく削ることになるため、ダイレクトボンディングを選択しました。

術後ブラックトライアングルはきれいになくなりました。
治療回数:1回
費用:¥33,000×2(税込み)
自分の歯をきれいにかつ大切にしたい人には当院の治療方針は合っていると思います(^^)/
気になっている方は当院にご相談ください<m(__)m>
群馬県前橋市の歯科医院 まえばしMI歯科
院長 高橋陽介

