前歯の色が灰色っぽく変色してしまうことがあります。
なぜ前歯の色が変わるのでしょうか?
原因として
・過去に虫歯が大きく神経をとったため。
・前歯をぶつけてしまい前歯の神経が痛んでしまったため。
が考えられます。
歯の神経をとったり、神経が痛んでしまった場合、歯の歯髄(いわゆる神経)のなかの血液の成分が歯の中に沈着することで変色は生じてしまいます。
はたしてこの変色は治るのでしょうか?
答えは、100%ではないけど治せる場合もあります。
治療法はウォーキングブリーチという方法を用います。
しかし、この方法は白さのコントロールが難しい場合があります。
私の経験上、年齢の低い方ほど白くなりやすく、年配の方ほど白くなりずらい場合が多いです。
また、前歯をぶつけてから年数が長く経っている歯も白くなりずらい場合が多いです。これは、ぶつけた衝撃がきっかけで歯髄が石灰化し、歯自体が固くなってしまい薬液が浸透しずらくなることが考えられます。
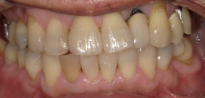
患者さんは50代男性。右下二番目の歯の変色が気になるとのこと。大きく削らずに治したいと希望があったためウォーキングブリーチを選択しました。

術前:右下2番目(正面から見て左下前から2番目)の歯に変色が見られます。

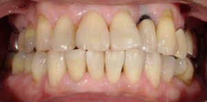
術後:完全ではありませんが、だいぶ白くなりました。
料金:¥33,000(税込み)
治療回数:2回
※歯の欠損が大きい場合はダイレクトボンディングの料金が別途かかる場合があります(¥33,000~44,000)
※根尖病変(根の先に膿が溜まっている)が認められる場合は根管治療が必要になります(保険診療でも行うことができます。回数2~5回。)
※白さが十分に得られず、1年以内にセラミック治療(¥88,000)を希望される場合は差額(¥88,000-33,000=¥55,000)で行うことができます。
完璧に歯の色を合わせるのが難しい場合もありますが、歯を大きく削りたくない方や費用をあまりかけたくない方にはお勧めの治療法です(^^)/
興味のある方は当院までお問合せ下さい。
群馬県前橋市の歯科医院 まえばしMI歯科
院長 高橋陽介

