1日で終わる虫歯治療にはダイレクトボンディングとセレックがありますが、どちらがよろしいでしょうか?
時々聞かれますが、一概にどちらのほうが良いとは言えません。
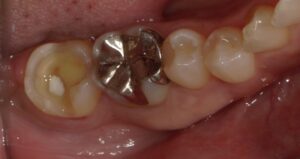
小さな銀歯をやり替える場合はダイレクトボンディングのほうが歯質の削除量が少なくて良いでしょう。
大きな銀歯や欠損が大きい場合はセレックなどのセラミック修復したほうが良いと思います。
隣接面を含む修復の場合は治療する歯科医師の技術によって決まります(レジンが得意な先生とインレーが得意な先生に分かれます)
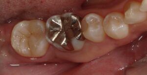
※当院ではセレックを用いた修復は行っておりません。型どりを行い上手な技工士さんに作ってもらっています。
それと、審美性を求める場合はダイレクトボンディングのほうがきれいに仕上がると思います。

銀歯の遠心の縁の部分に虫歯ができてしまいました。

銀歯を外し、虫歯をとった状態です。

歯を大きく削りたくない人や自然な感じの審美性を求める人には当院の治療はマッチしていると思います。
群馬県前橋市の歯科医院 まえばしMI歯科
院長 高橋陽介

