当院では時々セラミックインレーを用いた修復を行っておりました。
以前はe.maxというガラス系のセラミックをよく用いていました。
このセラミックの特徴は、光の透過性が高く、天然歯に近い色調が出せることがメリットです。
しかし、耐久性がそこまで高くなく数年で破折してしまう症例が複数出てきました。
また、接着がダイレクトボンディングと比較すると弱く、脱離もありました。
そのため、現在私はセラミックインレーの症例を減らし、患者さんにはダイレクトボンディングを勧めております。
どうしても白い詰め物で治したいけど強度的に不十分な場合はジルコニアインレーをお勧めしております(ご自身の歯より若干白く出来上がりますのでご了承下さい)。
※保険のCAD/CAM適合が悪かったり脱離が多いので現在やっておりません。
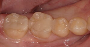
今回の患者さんは20代女性。5~6年前に入れた右下6番目の歯のセラミックインレーが破折してしまいました。

術前:右下6番(写真左から2番目)にセラミックの破折が認められます。

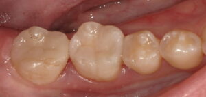
術中:セラミックを除去しました。虫歯は認められなかったため、セラミックの下に裏層されていたレジンはそのままにして、上部のみ充填することにしました。

術後:ダイレクトボンディングで修復されています。
※手前の歯の溝に着色が無く、とても白い歯なのでステインは付けませんでした。ちなみに7番(一番左の歯)はセラミックインレーが入っております。
この方法だと必要以上に歯を削らなくて済みますので、術後に痛んだり凍みたりといったことがほとんど起こりません。歯の強度も保たれます。
治療回数:1回(約60分)
料金:¥55,000(税込)
白い詰め物で自然な感じで治したいといった方にお勧めです(^○^)
まえばしMI歯科
院長 高橋 陽介

