ダイレクトボンディングをやっていると、遠くから足を運んでくださる患者さんが多くいらっしゃいます。
そのため、こちらとしてもできるだけ治療回数を少なくしたいと思い、可能な限り直接法で治療したいと考えております。
銀歯を白くする場合、詰め物タイプでしたらほとんど直接法で対応できます。
今回の患者さんは40代女性の方で、前歯部の治療の後銀歯を白くしたいということで治療を開始しました。

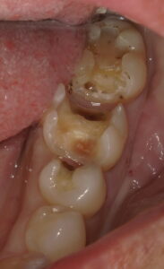
術前:左下5,6,7番目に銀歯が入っています。6番目はかなり大きいが、頑張ってトライすることになりました。

術中:銀歯を外したら虫歯が出てきたので除去しました。

虫歯や古い接着剤を除去した後、6番は大きさがかなり大きいので、ここだけフリーハンドでビルドアップ。
患者さんは長時間口を開けているのが苦手とのことなので、この日はこの歯の治療のみで終了。
次回、5番と7番の治療を行うことにしました。

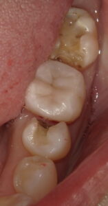
2回目治療後:きれいに修復できました(*’▽’)
治療回数:2回(90分×2回)
費用:5番¥44,000 6番¥66,000 7番¥55,000
*患者さんの希望があれば3時間コース1回で全て治すことも可能です。
アンレータイプの場合、強度を考えるとゴールドやジルコニアの方が高いですが、治療回数を減らしたい人や歯をできるだけ削りたくない人はダイレクトボンディングをお勧めしております。
銀歯を白くしたい人は当院におまかせ下さい(^^)/
まえばしMI歯科
院長 高橋 陽介

