すきっぱの即日修復を希望される患者さんのうち、大部分の方はその日に即日修復を行っていますが、どうしてもその日にできない人もいます。
例えば、
・歯石が多く付着しており、歯周病が認められ、歯茎が腫れている場合。
・着色が多く、歯面清掃を行わないと色合わせができない場合。
・大きな虫歯が認められ、根管治療が必要な場合。
・歯の位置以上(大きく曲がっている)、欠損が大きい、動揺が大きいなどそもそもダイレクトボンディングの適応症でない場合。
などが挙げられます。
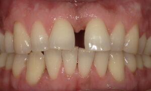
下の写真の患者さんは、歯周病に罹患していたため歯周基本治療(歯石を取るなどの歯周病の治療)を行った後にダイレクトボンディングを行いました。

術前:正中離開が認められます。歯周基本治療後なので歯茎は落ち着いてます。

術後:綺麗に治りました。
興味のある人は当院までお問合せ下さい(^^)/
群馬県前橋市の歯科医院 まえばしMI歯科
院長 高橋陽介

