前歯の虫歯の治療をすると、通常白い詰め物(コンポジットレジン 略してCR)で治します。
これは保険適応となっているため、多くの人がこの治療を受けています(以下保険CRと言います。)
昔は金を被せる治療もありましたが、今はほとんど行われておりません。田舎に行くと(うちの医院も田舎ですが、もっと本格的な田舎)時々お年寄りで金歯を入れた人を見かけるくらいです。
では、保険CRとダイレクトボンディングはどこが異なるのでしょうか?
とある歯科医院のHPを見ると、
保険CR:保険適応のレジンしか使えないため審美性に制約がある。
ダイレクトボンディング:保険適応外のレジンを使うため審美性を追求することができる。
といった内容の記載がありました。
確かに保険適応外のレジンには審美性の高いものが多いですが、必ずしも保険適応外のレジンを使用しないと十分な審美性が追及できないわけではありません。
実際、私は正中離開の症例などは保険適応の材料のみで充填することもあります。(そもそもこれは保険請求できる病名でないため、どんな材料で治しても自由診療となります。)
私が思うに、材料的な違いはそこまで大きくないと思います。
では大きな違いは何でしょうか?
一番の違いは長い時間をかけて丁寧に治療ができるかどうかだと思います。
保険診療の点数は他の先進国の治療費の1/10くらいしかありません。虫歯1本を治して300点(¥3,000)前後しかもらえません。そのため、1回の治療では15分程度しかかけられません。
医療は奉仕活動だと思っている人結構多いんですけど、実際にはスタッフ何人も雇っているし、医院の家賃も払うし、材料費や設備投資もしているので、これはビジネスに部類されます。
治療費が1/10なら当然かけられる時間も1/10です(実際には1/5くらいの時間はかけていますが)。そのため、必ずどこかの手順(防湿、接着操作、充填、研磨など)を短縮する必要性が出てきます。そうすると、自ずとどこかでエラーが生じる確率が高くなります。
それと比較し、自由診療では材料も自由に選択できるのに加えて、治療にかける時間も患者さんが承諾すれば自由にかけられます。私は1回の虫歯治療に3時間くらいかけることもあります。時間をかけて、拡大視野下で、丁寧に治療を行えばエラーが生じる確率は低下します。
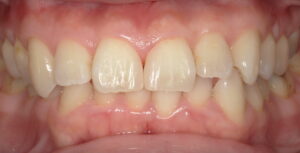
下に保険のレジンをダイレクトボンディングで再修復した症例を紹介します。

術前:レジンの色も合っておらず、また歯肉の上に乗ってしまい発赤が認められます。実際にレジンの下から縁下歯石が大量に出てきました。これを放置しておくと歯周病が進んでしまい、歯の周りの骨が溶けてしまします。

術後:段差なくきれいに充填できました。色も合っており、審美性も回復できました。
話をまとめると、保険CRよりもダイレクトボンディングのほうが時間をかけて丁寧に治療できるため、審美性のみならず予後の良い治療を行うことが可能となります。
丁寧な治療を受けたい方、自分の歯を長持ちさせたい方はダイレクトボンディングを選択することをお勧めします。
まえばしMI歯科
院長 高橋 陽介

