前歯は人の印象を決めます!!
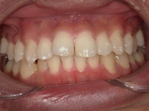
患者さんは30代男性。前歯のすきっ歯および色が気になるとのこと。
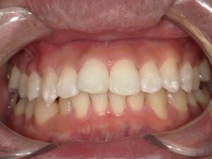
遠くからから来るため、治療回数は少なくし、できれば当日に治したいと希望がありました。
余談ですが、当院の審美治療目的で来院される患者さんの約8割は市外の方です(゜o゜)
1時間以上かけて来院される方も多くいらっしゃいます。

正中離開および上顎左右中切歯および上顎右側側切歯に白濁を認めます。
かかりつけの歯科医院の先生からは「気にするな」と言われたそうです。
うーん、そう言われても気になるものは気になりますよね(;´Д`)

遠方から来ていただいたため、治療回数の少ないダイレクトボンディングで治しました。
治療回数:1回
費用:¥77,000(税込み)
※ダイレクトボンディングは審美治療で、すべて自由診療となります。審美目的の治療は保険適用にはなりません。
気になる方は当院までお問合せ下さい。
群馬県前橋市の歯科医院 まえばしMI歯科
院長 高橋陽介

