歯の神経を取ったり神経が痛んでしまった場合、歯の中の血液の成分が歯に沈着し、歯自体の色が黒っぽく変色してしまうことがあります。
一般的にはこのような歯の治療は大きく削ってセラミックを被せることできれいにしますが、場合によってはウォーキングブリーチという方法で歯を削らずに治すことができます。
ウォーキングブリーチとは、過ホウ酸ナトリウムと過酸化水素水を練和したものを歯の中に入れることで歯の内部から漂白する方法です。ホワイトニングとの違いをよく聞かれますが、ホワイトニングが歯の外から漂白するのに対してウォーキングブリーチは神経の治療がしてある歯を中側から漂白します。
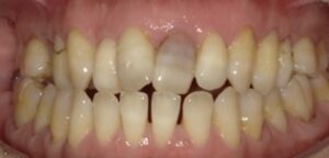
下の患者さんは上の前歯(写真の右側)を昔ぶつけてしまったことにより大きく変色してしまっています。

術前:上の前歯に大きな変色が認められます。

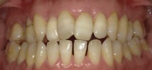
術後:隣の歯と同じ色になりました。
下は別の患者さんです。正面から見て左側の前歯が大きく変色しています。

術前:前歯が灰色に変色しています。

術後:とてもきれいになりました。
治療期間:1~2週間
料金:¥44,000(税込み)
※保険適応外の治療となります。
※歯を白くした後にダイレクトボンディングを行う場合は別途料金がかかります。
※ウォーキングブリーチの効果には個人差があります。
興味のある方は当院までお問合せ下さい。
群馬県前橋市の歯科医院 まえばしMI歯科
院長 高橋陽介

