虫歯治療というと10分程度で虫歯をとって、そのまま銀歯の型どりをするものと思っている人もいるかもしれませんが、きちんと治そうとすると実はけっこう時間がかかるものです。
この患者さんは銀歯の下の虫歯を白い材料で精密に治したいとの希望でダイレクトボンディングを行いました。

右上の一番奥の歯です。咬む面から頬側にかけて銀歯が入っていいます。写真を撮る器具も十分に入らないくらい奥歯の治療は難しいです。

銀歯を外しました。開口量が小さく、残っている歯の部分を極力削らずに銀歯を削って外しました。治療開始からここまで10分ほどかかりました。

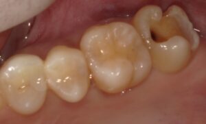
虫歯を青い液で染め出したり硬さを確認したりして全部とりました。ここまでで20分ほどかかっています。

唾液が入らないようにラバーダムというゴムのマスクを付けます。

ダイレクトボンディングを行いました。ここまでで40分ほどかかっています。

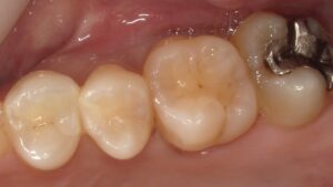
治療終了後。麻酔してから最終的な研磨をするまでに約1時間かかりました。
保険診療ではここまでなかなかできませんが、自由診療のダイレクトボンディングを選択すれば、1回でこのような精密な治療を行うことができます。
群馬県前橋市の歯科医院 審美歯科 精密虫歯治療
まえばしMI歯科 院長 高橋陽介

