MTAセメントとはご存じでしょうか?
MTAセメントというものはまだ日本であまり周知されていませんが、歯科用の材料の一つで直接覆髄法や根管充填、穿孔修復などに用いられます。
MTAセメントとは、Mineral Trioxide Aggregate の略で、ポルトランドセメント(コンクリートの原料)を精製し生体親和性を高め、歯髄に塗ることにより象牙質(歯の内部の硬い部分)の形成を促進させる作用があります。また強アルカリ性で、細菌に対する殺菌効果もあり永続的に続きます。
下の写真の患者さんは虫歯の治療中に露髄(歯の神経が見えてしまうこと)してしまいました。術前に神経を保護するMTAセメントを使用したいと申し出があったため直接覆髄法を行いました。
神経をとる治療をしてしまうと、神経を取るのと同時に血管や象牙芽細胞と呼ばれる歯を修復する細胞もなくなってしまい、歯の修復機構がなくなってしまうため歯の強度が低下して割れやすくなってしまいます。

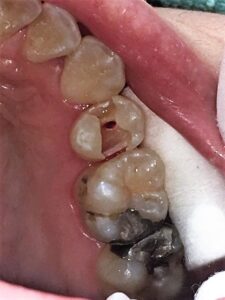
虫歯除去後。歯の中心部に神経が見えてしまいましたが、神経はまだしっかりと生きていました。

MTAセメントにて覆髄しました。

ダイレクトボンディングにて修復しました。
※直接覆髄法は自由診療となります。(¥33,000+詰め物の料金となります。)
すべての虫歯治療で適応となるわけではありませんが、このような方法で治療することで歯の寿命を延ばせることもあります。
群馬県前橋市の歯科医院 まえばしMI歯科
院長 高橋陽介

