矯正治療を行うとどうしても歯と歯茎の間に隙間ができてしまうことがあります。
これをブラックトライアングルと言います。歯周病が原因でできてしまうこともあります。
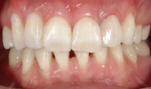
特に上の前歯は気になりますよね。( ゚Д゚)
今回の患者さんは30代女性。矯正治療をしたが、上顎前歯部のブラックトライアングルが気になるとのことで来院。
ダイレクトボンディングを行いました。

術前:前歯の間にブラックトライアングルが認められます。

術後:目立たなくなりました。
*下顎はそこまで気にならないとのことなので、上顎のみ治療しました。
費用:¥44,000×2(税込み)
治療回数:1回
歯肉移植などの方法もありますが、痛みを伴うため当院ではほとんど行っておりません。
ダイレクトボンディングは無麻酔で痛み無く1回でできますのでお勧めです。
デメリットとしては、コーヒーやタバコなどの着色くらいでしょうか(気になる場合は研磨したり部分的に修復したりできます。)
矯正治療後にこのようなことでお困りの方は当院までご連絡下さい(^^)/
まえばしMI歯科
院長 高橋陽介

