矯正治療を行うと、歯並びがきれいになりますが、後戻りをしてしまうことがあります。(;´Д`)
歯と歯の間に隙間ができてしまったり、歯が再び重なってしまったりすることがあります。
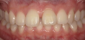
今回の患者さんは20代女性。過去に2度矯正治療を行いましたが、後戻りをしてしまい前歯の間に隙間ができてしまいました。
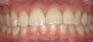
矯正以外の選択肢で治したいとのことで来院され、ダイレクトボンディングを行いました。

術前:正中離開(すきっ歯)が認められます

術後:きれいに治りました(^^♪
興味のある方は当院までお問合せ下さい(^^)/
前橋市の歯科医院 まえばしMI歯科
院長 高橋陽介

