すきっ歯が気になっている人多いと思います。
今回の患者さんは、正中離開+捻転歯をダイレクトボンディングで治したいとのことで来院されました。
正中離開(いわゆるすきっ歯)をダイレクトボンディングで治すのは比較的簡単ではありますが、捻転歯(歯の軸が曲がっている歯)がからんでくるとやや難しくなってきます。捻転の度合いが大きい(歯が大きく外を向いてねじれて生えている)場合は治療後の歯の大きさが大きくなりすぎてしまい不自然となってしまうこともあります。
そのため私は、捻転歯の治療の第一選択は矯正治療と考えています。
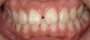
今回の患者さんは10代後半の女性。前歯のすきっぱが気になるということで来院。

すきっぱを認めますが、同時に歯の軸が外向きに曲がっています。
患者さんには矯正治療が第一選択であると説明しましたが、矯正装置は付けたくないとのこと。ダイレクトボンディングでの治療を希望されたため行いました。

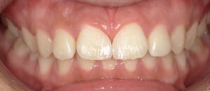
治療後。すきっ歯はきれいに治りました。前歯の大きさも若干大きくはなりましたが、患者さんは気にならないとのことで治療終了となりました。
治療回数:1回
料金:¥66,000(¥33,000×2本 税込み)
保証期間:3年間(※半年に1回以上メンテナンスに来ていただいた場合)
興味のある方は当院までご連絡下さい(^^)/
群馬県前橋市の歯科医院 まえばしMI歯科
院長 高橋 陽介

