患者さんは80代男性。下の前歯が揺れていて咬みづらいため来院。
高齢のため、抜歯後のインプラントや歯を大きく削るブリッジの希望はありませんでした。

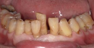
術前写真。
右下1番目の歯が歯周病で大きく揺れています。
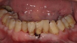
そこで私が考えたのは、天然歯を用いたダイレクトブリッジ
術式は、
①まず歯周病に罹患しているため歯周基本治療をある程度行い
②抜歯・歯髄処置・根の切断を行い
③歯冠部をレジンセメントで隣の歯に接着

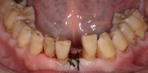
まず抜歯し、止血しました。

抜いた歯の根を切断しました。

そのまま隣の歯に接着剤でくっつけました。
教科書に載ってない治療法で、ノーエビデンスですが、患者さんが希望された場合は行ないます。(自由診療:¥33,000となります)
希望される方は当院までお問合せ下さい。
群馬県前橋市の歯科医院 まえばしMI歯科
院長 高橋陽介

