前歯の詰め物が変色し気になるので治してほしいという相談をよく受けます。
保険適応のコンポジットレジンが充填されていることが多く、
治してから数年すると黒く変色してきます。
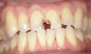
今回の患者さんは30代男性。前歯の詰め物の変色を主訴に来院。

術前:上顎中切歯の間に古いCR充填が認められます。

術中:古いCRおよび虫歯を除去しました。充填物は思ってた以上に大きく、表層のエナメル質は大きく欠損しています。

術後:術前よりはきれいになりましたが、詰め物の色が少し浮いてしまい、歯と詰め物の境目がわかってしまいます…
保険なら材料や時間の制約があるためこれで終わりになりますが、今回はダイレクトボンディング(自由診療)のため一切妥協しません。患者さんとお話しし、後日再度トライさせていただくことになりました。
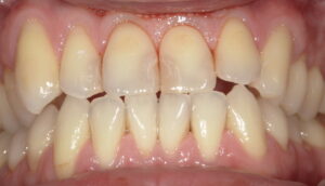
充填物の表層から中間層の辺りまでを一度削合し、境目が分からなくなるよう再度充填しました。

再充填後:境目はわからなくなり、自然な仕上がりとなりました。

before

after
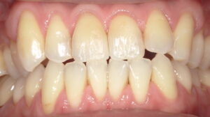
患者さんには治療回数が1回多くなってしまいご迷惑おかけしてしまいましたが、とてもきれいに治りました。
保険でやるかダイレクトボンディング(自由診療)でやるかの大まかな目安は、充填する窩洞の縦・横の幅がそれぞれ5㎜以内といったところでしょうか(エビデンスは特にないので、あくまでも個人の見解となります。)
正直、あまり大きな窩洞を保険で充填してもあまり審美性は追及できません(-_-;)
本当にきれいに治したいという希望のある方はダイレクトボンディングをお勧めします。
まえばしMI歯科
院長 高橋 陽介
