「歯科検診へずっと何年も通っていたのにある時急に歯が痛くなった。歯医者へ行ったら大きな虫歯があると言われた。なんで今まで見つからなかったんだろう?」
といった声を時々聞きます。
実際に歯科検診へ行ってれば虫歯は全て見つけることはできるのでしょうか?
答えはNOです。しかし、虫歯の9割以上は見つけることができます。
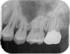
患者さんは30代女性。症状は特にありませんが、定期健診で来ていただいた時に直感で左上6番目の遠心が何となく怪しいと感じました。写真からはほぼわかりません。

虫歯が隠れていそうな気配があったため小さいレントゲンを撮りました。

やっぱりありました!

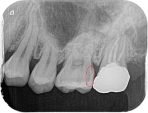
写真の赤丸が虫歯の部分です。

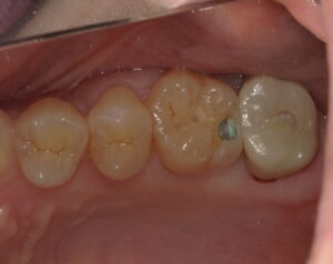
詰め物を外してから青い液で染め出したらけっこう中で広がっていました。

虫歯を全て除去しました。神経近くまで広がっていました。

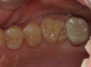
ダイレクトボンディングで修復しました。
今回のような虫歯はレントゲンを撮れば見つけることができます。
全ての虫歯は発見できないかもしれませんが、ほとんどは見つかるので、歯科検診には行ったほうがいいです。
※定期的にレントゲンを撮ったりしてくれる歯科医院にかかるのが良いと思います。定期健診という名目で歯石取りのみを行い、歯科医師によるチェックが無い医院もあるようですがそのようなところはお勧めしません。
まえばしMI歯科
院長 高橋 陽介

