前歯の治療は難易度高いです!!
患者さんは40代女性。昔前歯にかぶせた歯の歯茎が黒ずんできたのが気になるとのこと。
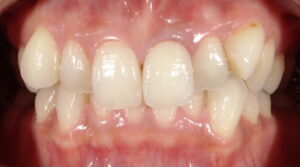
左上中切歯にメタルボンドクラウンが装着されており、縁の部分が黒ずんでいます。
メタルボンドとは金属の上にセラミックが焼き付けてある被せ物で、入れたときはきれいですが年数が経つと歯茎が下がってしまい、縁の金属色が黒く目立ってしまうことがあります。
この患者さんは他の歯も白くしたいということでホワイトニングを先に行いました。

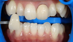
術前(ホワイトニング終了後)
この後被せ物を外し、仮歯に置き換え、仮歯の修正を行い、セラミックの歯を作製しましたが色や形が合わず3回修正しました。
技工士さんには作製時口腔内の写真を送りますが、実際に患者さんの口腔内を見ていないので色とか形を一発で合わせるのはかなり難しいです。
今回はどうしても合わなかったので実際に医院まで来てもらいました。
これでやっと完成できました!

左上前歯装着直後
ジルコニアボンド(ジルコニアというセラミックの上に陶材を焼き付けたもの)で作りました。
ぴったりと色を合わせることができました(^^)/
費用:¥132,000(税込み)
前歯の治療は高い!! と言われますが、これだけ手間暇かけて作製しております。(特に技工士さん)
前歯のかぶせ物を6本同時に(右上の犬歯から左上の犬歯まで)作製する場合の色合わせはそれほど難しくありませんが、1本だけ作るときは難易度が高いです。
群馬県前橋市の歯科医院 まえばしMI歯科
院長 高橋陽介

